イメージ画像

症例集|高田馬場歯科・矯正歯科の治療実績

Case
CASE 03
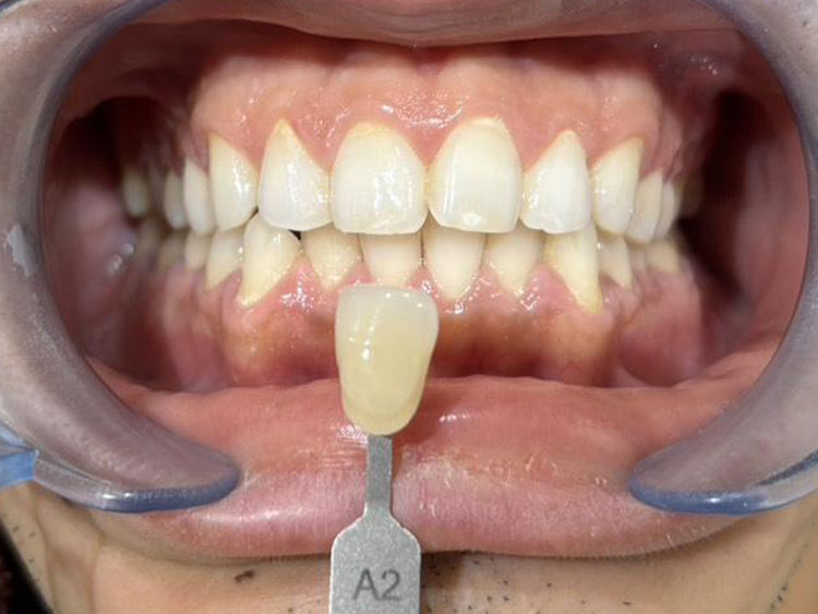
BEFORE

BEFORE

▶
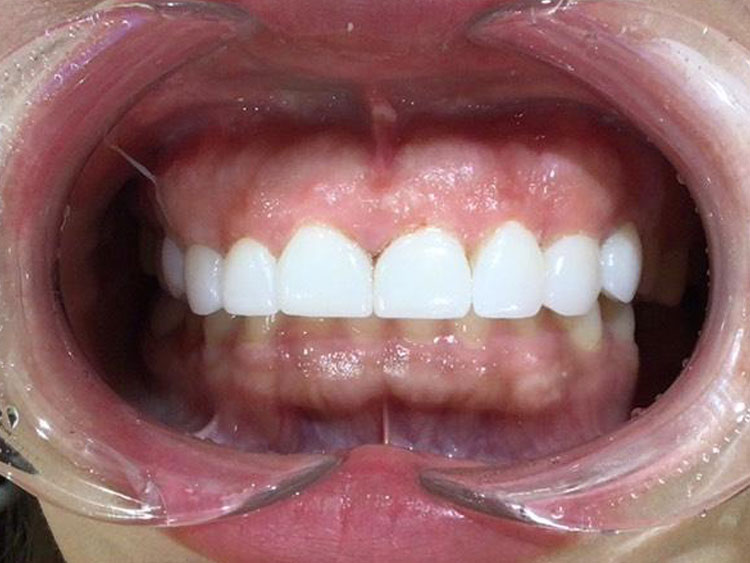
AFTER

AFTER

30代男性。歯の色や形、全体的な並びのバランスを整え、清潔感のある口元にしたいとご来院されました。

CASE 02
BEFORE

BEFORE

▶
AFTER

AFTER

20代女性。歯の色味や形を全体的に整え、より白く美しい「芸能人のような口元」にしたいとご来院されました。

CASE 01
BEFORE

BEFORE

▶
AFTER

AFTER

20代男性。全体的な歯の黄ばみが気になり、清潔感のある白い歯にしたいとご来院されました。

1 2 3