イメージ画像

症例集|高田馬場歯科・矯正歯科の治療実績

Case
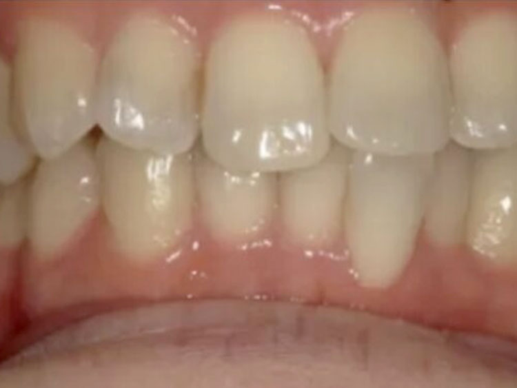
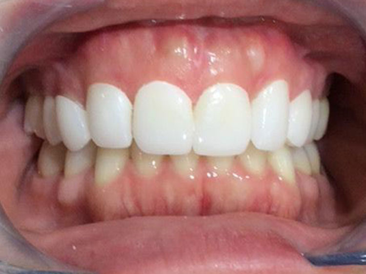
CASE 09
BEFORE

BEFORE

▶
AFTER

AFTER

20代。 「前歯の傾きが気になる」「下の歯のガタつき」を主訴に来院。 検査の結果、上の前歯が下の前歯を深く覆ってしまう「過蓋咬合(Deep Bite)」の状態であり、見た目だけでなく噛み合わせの機能改善も必要でした。

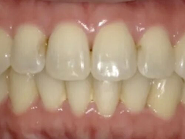
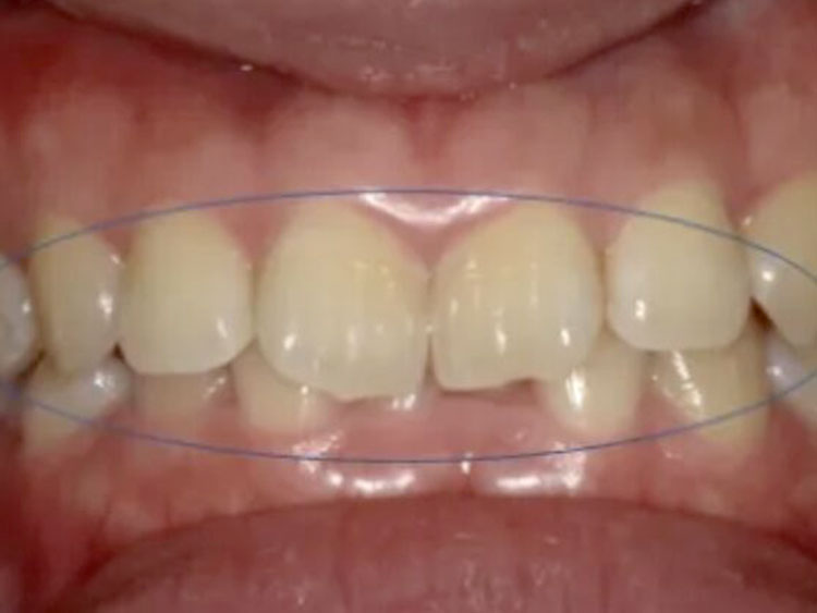
CASE 08
BEFORE

BEFORE

▶
AFTER

AFTER

30代。 「前歯のガタつき(叢生)が目立つ」「歯が重なっていて磨きにくい」などのお悩みでご来院。 目立たない装置で、周りに気づかれずに歯並びを整えたいというご希望でした。

CASE 07
BEFORE

BEFORE

▶
AFTER

AFTER

50代。 「噛んだ時に違和感がある」「疲れると歯茎が浮くような感じがする」とのことでご来院。 レントゲン撮影の結果、過去に治療した歯の根の先に細菌が繁殖し、大きな炎症(黒い影)ができている「根尖性歯周炎」の状態でした。

CASE 06
BEFORE

BEFORE

▶
AFTER

AFTER

30代。 奥歯を失ってしまい、「しっかりと噛めるようになりたいが、健康な両隣の歯を削る『ブリッジ』や、取り外しの『入れ歯』には抵抗がある」とのことでご来院。

CASE 05
BEFORE

BEFORE

▶
AFTER

AFTER

根管治療

CASE 04
BEFORE

BEFORE

▶
AFTER

AFTER

顎水平埋伏智歯

1 2 3