イメージ画像

症例集|高田馬場歯科・矯正歯科の治療実績

Case
CASE 15
BEFORE

BEFORE

▶
AFTER

AFTER

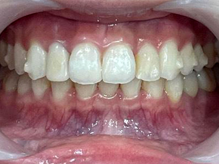
「歯の色や形を綺麗にしたいけれど、健康な歯は絶対に削りたくない」というご希望で来院。ご自身の歯を削らずに、短期間で理想の白さと美しい歯並びを実現できる「エンジェルベニア」を選択されました。

CASE 14
BEFORE

BEFORE

▶
AFTER

AFTER

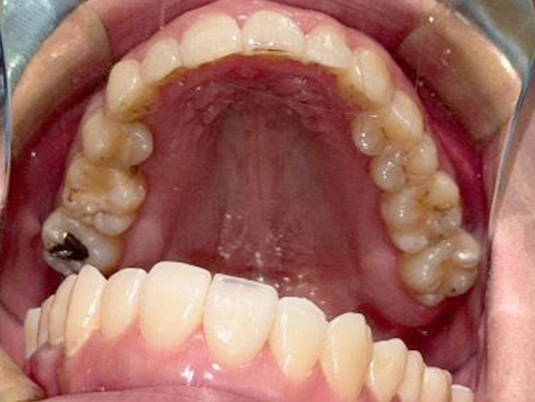
30代男性。「タバコのヤニやコーヒーなどの着色汚れ(ステイン)が気になる」「歯の裏側までしっかり綺麗にしたい」というご希望で来院。毎日の歯磨きや、通常のクリーニングでは落としきれない頑固な汚れにお悩みでした。

CASE 13
BEFORE

BEFORE

▶
AFTER

AFTER

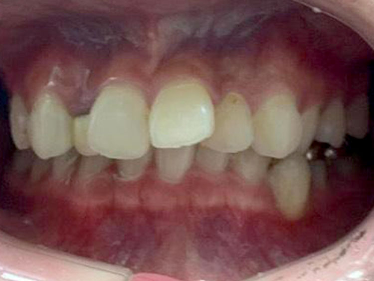
30代女性。「ホワイトニングでは満足できる白さにならない」「歯の形や隙間をきれいに整えたい」というご希望で来院。一番の懸念点は「健康な歯を削ること」だったため、ご自身の歯をほとんど削らずに施術できるエンジェルべニアを選択されました。

CASE 12
BEFORE

BEFORE

▶
AFTER

AFTER

30代女性。「ホワイトニングでは満足できる白さにならない」「歯の形や隙間をきれいに整えたい」というご希望で来院。一番の懸念点は「健康な歯を削ること」だったため、ご自身の歯をほとんど削らずに施術できるエンジェルべニアを選択されました。

CASE 11
BEFORE

BEFORE

▶
AFTER

AFTER

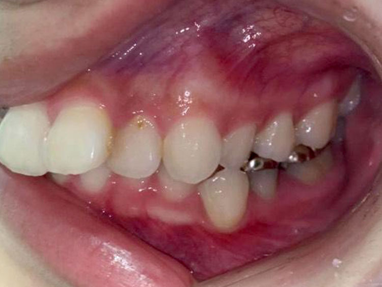
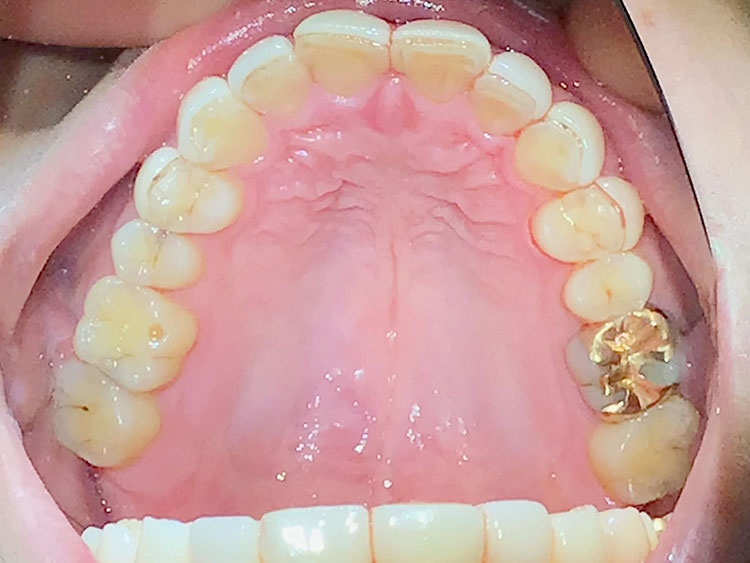
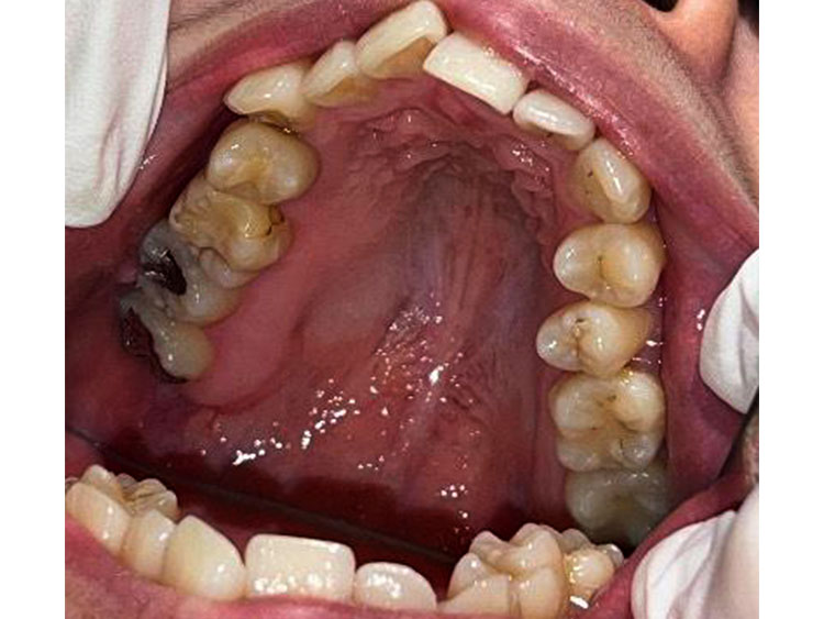
20代。「歯のガタつきがひどく、人前で笑うのがコンプレックス」「歯ブラシが届かず、虫歯や歯石が気になる」というお悩みで来院。他院では「ワイヤー矯正が必要」や「抜歯が必要」と言われるような複雑な歯並びでしたが、目立たない装置での治療を強く希望されました。

CASE 10
BEFORE

BEFORE

▶
AFTER

AFTER

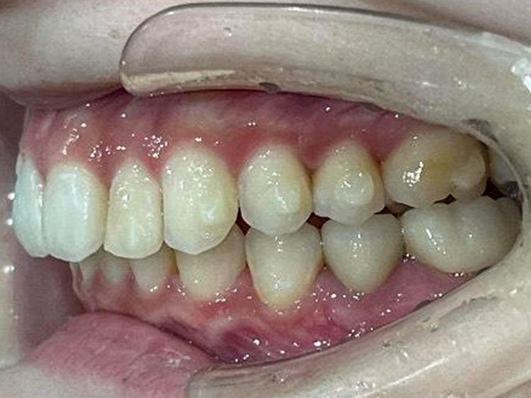
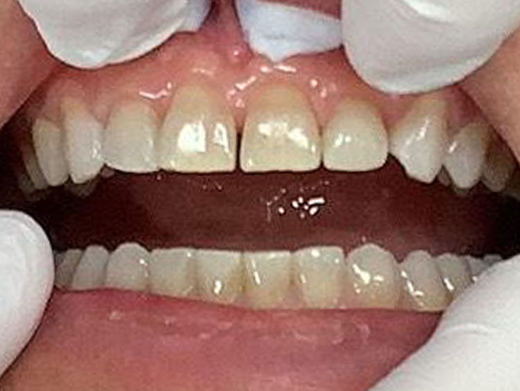
20代。 「前歯がデコボコしているのが気になる」「笑った時に歯並びが悪く見える」というお悩みでご来院。 仕事やプライベートで目立つワイヤー矯正は避けたいとのことで、透明なマウスピース矯正をご希望されました。

1 2 3