イメージ画像
症例集|高田馬場歯科・矯正歯科の治療実績
Case

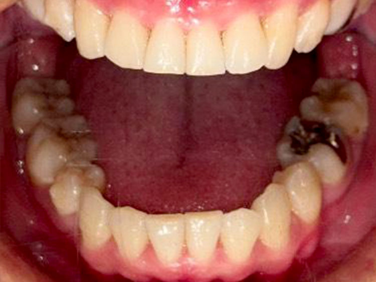
20代。「歯のガタつきがひどく、人前で笑うのがコンプレックス」「歯ブラシが届かず、虫歯や歯石が気になる」というお悩みで来院。他院では「ワイヤー矯正が必要」や「抜歯が必要」と言われるような複雑な歯並びでしたが、目立たない装置での治療を強く希望されました。

CASE 12

インビザライン

BEFORE

BEFORE

▶
AFTER

AFTER

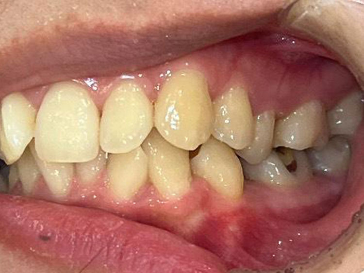
BEFORE

BEFORE

▶
AFTER

AFTER

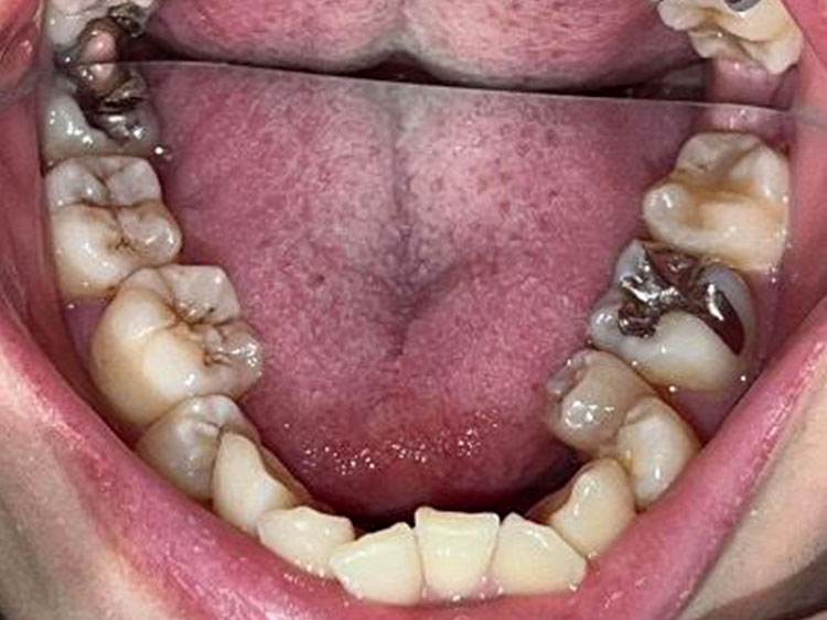
BEFORE

BEFORE

▶
AFTER

AFTER

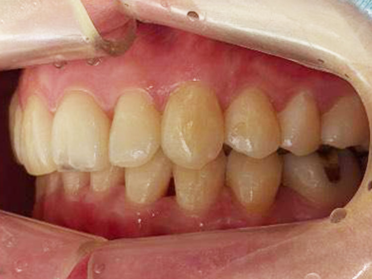
BEFORE

BEFORE

▶
AFTER

AFTER

治療内容

マウスピース型矯正装置「インビザライン」の全体矯正(コンプリヘンシブ)を適用。
奥歯から順に歯列の幅を広げる「側方拡大」を行い、抜歯をせずに歯を並べるスペースを確保しました。
複雑に重なり合った歯を一本一本解きほぐすように移動させ、機能的で美しいU字型のアーチを形成しました。

治療期間・回数

期間:約2年〜2年半
通院回数:1.5ヶ月〜2ヶ月に1回

費用

総額 880,000円〜1,045,000円(税込)
(内訳:インビザライン・コンプリヘンシブパッケージ)
※難易度の高いリカバリーを含むため、全体矯正プランとなります。

リスク・副作用

重なっている歯を動かす際、歯茎の退縮や「ブラックトライアングル(歯と歯の間の隙間)」が生じる可能性があります。
治療期間が長期間にわたるため、モチベーションの維持と装着時間の厳守(1日20時間以上)が成功の鍵となります。